| 
			We Care For:Your Health &
 Your Valuable Time
 
			Highlights:
  Top Class Treatment 
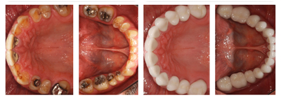
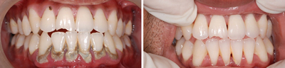
  All Types Dental Services 
  Dombivli Stn. 5 min. Walk 
  Co-operative Staff 
  2 Separate Dental Units 
  Separate Sterilization Unit 
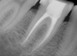
  Digi X-Ray, Less Radiation 
  Intra Oral Camera 
  All for 
			Affordable Charges |