|  | ||
|  | ||
|  | ||
| Services Offered Periodontic | ||
| 
			 | ||
| 
 
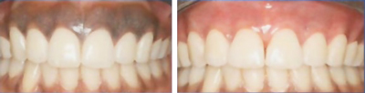
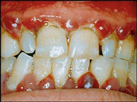
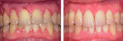
			 Non-surgical periodontal treatment is possible for the early and moderate stages of periodontal disease. This treatment involves removing the plaque and calculus (tartar) that has formed under the gum - in the area known as the pocket, and smoothing the root surfaces. 
			 Local anesthesia is typically used to assure comfort during treatment. The area is then treated with medication such as antibiotics or antibacterial agents. With moderate to advanced Periodontics, bone loss is present and surgical periodontal treatment may be required. All patients that undergo periodontal treatment, whether it is non-surgical or surgical, need to have their teeth cleaned and their gums checked on a regular basis. This will be as often as every three to four months. 
			 It is vitally important to do this to prevent further periodontal problems. Periodontal disease is a chronic problem. Without ongoing treatment, the infection and disease will recur, and each time it does, more bone can be lost, until eventually the teeth become loose and need to be removed. The goal of non-surgical periodontal treatment is to bring the gums back to good health by shrinking or eliminating the pockets around the teeth that are the site of infection, without having to have gum surgery. | 
			 | |
|  | ||