|  | ||
|  | ||
|  | ||
| Advanced Services Offered 
			Endodontic | ||
| 
			 | ||
| 
			 
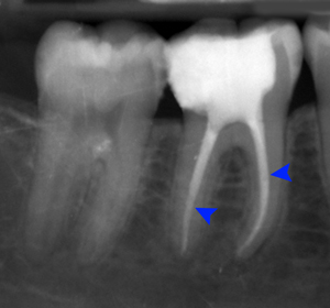
			 Illustration for the procedure for Root Canal Treatment When nerve or blood supply of the tooth is infected because of decay or an injury, root canal treatment is performed with the help of specialized instruments. Root canal treatment is done to save natural teeth. It is absolutely painless procedure and is performed under local anesthesia. At Sweet Smile, we provide faster solution by doing Root Canal Treatment in single day most of the times as it saves lot of time of patients and gives most predictable results. After Root Canal Treatment is completed, a full coverage crown is placed on that particular tooth so as to maintain & protect its function. Ar Sweet Smile we can achieve perfect Root Canal Treatment as we use most advance equipments like RVG - Digital X-Ray on Big Screen and Apex locator, which gives the accuracy of Root Canal Length up to 0.5 mm. | 
			 | |
|  | ||