|  | ||
|  | ||
|  | ||
| Services Offered Cosmetic | ||
| 
			 | ||
| Cosmetic Dentistry at Sweet Smile Art, it is a word with many meanings. The music of a symphony, the work of painters and sculptors – all are examples of culture and artistry. We believe that dentistry is also an art form 'What is more beautiful than the lovely smile celebrated by artists, down through the ages'. At Sweet Smile', we have created a dental practice dedicated to making your smile as beautiful as possible. All porcelain crowns, ceramic veneers, and tooth whitening can all help change your smile to one that makes you look more attractive and confident 
			 
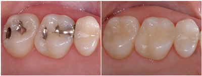
			 Composite Filling: Thanks to technological advances, dentists and patients today have several choices when it comes to selecting materials to fill cavities. Among the choices are natural tooth-colored materials such as resin-based composite fillings and more traditional dental fillings such as those made of metal amalgam. The advent of new materials for fillings has been beneficial, especially in terms of aesthetics, but does not eliminate the appropriateness of traditional dental materials that are stronger, more durable and less expensive. These materials are best in situations where restored teeth must withstand extreme forces that result from chewing, such as in the back of the mouth. | 
			 | |
|  | ||